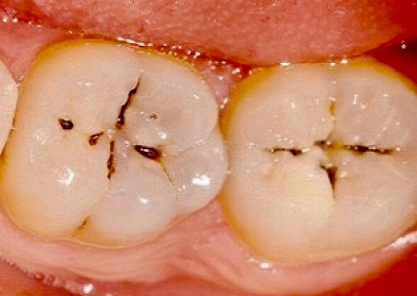
SÂU RĂNG – ĐỪNG COI THƯỜNG! 🦷
Bạn có biết? Sâu răng không chỉ là “lỗ nhỏ” trên răng mà là quá trình vi khuẩn phá hủy men răng, nếu không điều trị sớm có thể dẫn đến viêm tủy, mất răng, thậm chí ảnh hưởng đến sức khỏe .
💥 Hãy đến Nha Khoa Minh Nhơn khám định kỳ , đừng đợi đến khi đau mới đi khám
✅ Khám răng định kỳ 6 tháng/lần
📍 Hãy chăm sóc răng miệng từ hôm nay – Vì một nụ cười khỏe mạnh và tự tin!
📞 0916500664]
🏢 Mỹ Lệ Tây _ Xã Tây Hòa _ Tỉnh Đắk Lắk
#nhakhoaminhnhon #niengrang #Trongthaolap
#Trongrangsu #Tramrangthammy





